如果您发现某患者的临床表现怀疑为多发性硬化(multiple sclerosis,MS)且MR成像支持该诊断,则在鉴别诊断中应该不考虑莱姆病和神经性系统性红斑狼疮,因为这两种疾病的发病率非常低。您肯定会有其他证据和理由让同事支持你的诊断。只有当临床证据支持这些疾病的诊断时,才值得将其提出来。
因此,如果临床医生并未怀疑该患者为MS且在MR上只是偶然发现有白质损伤病灶时,则一般不建议将MS纳入鉴别诊断考虑。
因为血管源性白质损伤病灶的发病率是MS导致的白质损伤病灶的50至500倍,因此诊断为MS的可能性比较低。
另一方面,如果临床医生怀疑该患者为MS且在影像学检查时发现多个白质损伤病灶,则我们必须按照McDonald诊断标准,将MS与血管性疾病进行鉴别诊断。
白质损伤病灶的鉴别诊断
白质损伤病灶需要鉴别诊断的疾病种类非常多。在正常的衰老过程中,可见白质损伤病灶,但大多数白质损伤病灶都是获得性的,由缺血缺氧引起的。其中,最常见的炎性疾病是多发性硬化,最常见的病毒感染性疾病是进行性多灶性白质脑病(PML)和HIV。遗传性疾病通常表现为对称性病灶,因此必须与中毒性疾病相鉴别。
多发斑块状病灶的鉴别诊断
图片一
在上图中,是各种多发性点状和斑块状白质病灶图像,我们对其中部分病例进行详细讨论。需要说明的是,以下鉴别诊断中提到的疾病与上图中的图像并不完全重合。
交界区脑梗死
MRI成像病灶要点:一般来说,这些病灶仅位于一个脑半球,要么位于深层白质与灰质的分水岭区域(watershed area),要么位于周围的分水岭区域。在上图中,病灶位于深层的分水岭区域。
急性播散性脑脊髓炎(ADEM)
MRI成像病灶要点:在感染或接种疫苗后10-14天,多个局灶性病灶出现在脑白质和基底节。与MS一样,ADEM病变可累及脊髓、U形纤维以及胼胝体,有时可出现增强病灶。与MS所不同的是,ADEM的病灶通常更大,且好发于青年人,病程是单相的。
莱姆病
病灶大小约为2-3毫米,与MS的病灶相似,但患者会有皮疹和其他流感样疾病。脊髓呈现高信号,CN7(神经根入脑干区)信号增强。
肉样瘤
肉样瘤的病灶分布与MS非常相似。
进行性多灶性白质脑病(PML)
PML是一种由JC病毒感染引起的脱髓鞘性疾病,常见于免疫抑制患者。
MRI成像病灶要点:白质损伤病灶在U形纤维的间隙占位,不增强,与HIV或CMV不同。
PML的病灶可在单侧出现,但更常见的是呈双层、不对称性分布。
血管周围间隙(Virchow Robin spaces)
MRI成像病灶要点:T2加权成像明亮,FLAIR成像黑暗。
小血管性疾病
白质损伤病灶位于深层白质区域,不位于胼胝体、脑室旁或皮层旁。
多发性增强病灶的鉴别诊断
图片二
在上图中,是各种多发性增强白质病灶图像,我们对其中部分病例进行详细讨论。需要说明的是,以下鉴别诊断中提到的疾病与上图中的图像并不完全重合。
血管炎
大多数血管炎性疾病的MRI成像特点是点状增强。
脑部血管炎常见于系统性红斑狼疮、结节性多动脉炎(PAN)、白塞病(Behcet)、梅毒、韦格纳肉芽肿(Wegener)、干燥综合征(Sjogren)和原发性中枢神经系统血管炎。
白塞病(Behcet)
白塞病更常见于土耳其患者。典型MRI表现是急性期出现脑干病灶结节性增强。
其他疾病的脑转移病灶
其他疾病的脑转移病灶周围常包裹有水肿带。
交界区脑梗死
周围交界区脑梗死在病变早期可出现增强病灶。
血管周围间隙
图片三:T2加权成像和FLAIR成像
请查看上图并描述其病变特点。我们可以看到,在T2加权成像上,在基底节上有多个高密度病灶。在FLAIR成像上,这些病灶呈黑暗模糊影,在所有序列成像上,与脑脊液的密度相近(在T1加权成像上呈低信号)。
结合信号密度和病灶部位,可以判断是典型的血管周围间隙。
图片四:FLAIR成像
血管周围间隙是穿透软脑膜血管周围的脑脊液间隙。通常位于基底神经节、脑室周围、前连合附近以及脑干中间。在MR成像图像上,在所有序列上的密度与脑脊液的密度相近。与其他白质损伤病灶不同,血管周围间隙在FLAIR和PD成像上呈黑暗模糊影,通常比较小,位于前连合附近的除外,此处的血管周围间隙比较大。
在上图中,我们可以看到比较宽的血管周围间隙和在白质中有融合的高密度信号病灶。该图像很好的显示了血管周围间隙和白质损伤病灶之间的差异。
由于周围结构组织的萎缩,血管周围间隙会随着衰老和高血压而逐渐增宽。
正常衰老性的退化
图片五:正常衰老的脑部MRI成像:大脑沟回间隙增宽、脑室周围出现帽状和带状结构(箭头所示),在深部白质中出现一些点状病灶。
在正常衰老的脑部MRI成像中,我们可以看到:
? 脑室周围出现帽状和带状结构;
? 脑轻度萎缩,沟回和脑室增宽;
? 深部白质中出现点状病灶,有时甚至出现融合病灶(Fazekas量表分级为I~II级)。
脑室周围帽状结构是侧脑室前、后角周围的高密度区域,与髓鞘褪色和血管周围间隙增宽有关。脑室周围的带状影是沿着侧脑室室周出现的细小线状病灶,与室管膜下角质增生有关。
图片六:白质病变,Fazekas分级为I、II 、III级
衰老过程出现白质变化的临床意义尚未完全阐明。多个脑血管危险因素与白质病变有关,除高血压之外,其中最强的危险因素就是衰老。是否是生理性的白质变化,取决于患者的年龄。
根据Fazekas评分量表,可将白质变化分为不同的程度:
1. 轻度:点状白质损伤病灶,Fazekas分级为I级。
2. 中度:融合的白质损伤病灶,Fazekas分级为II 级,在深部白质中出现这种病灶可以认为是衰老过程中的正常生理性改变。
3. 重度:广泛融合的白质损伤病灶,Fazekas分级III级,这种改变是病理性的。
血管性疾病
图片七:SE T2加权成像:高血压患者,多个白质损伤病灶
请仔细观察上图并描述其病灶特点。
这些白质损伤病灶位于深部白质中,请注意这些病灶并不位于脑室周围、皮层旁、胼胝体。与MS不同的是,这些病灶并不紧贴脑室和皮层。考虑更有可能是缺氧缺血性白质损伤,我们推断这些白质损伤病灶可能是血管源性的。
只有在临床证据强烈提示为炎症性疾病、感染、中毒或其他疾病,否则不应考虑这些疾病。
如果患者的MR成像有这些表现而无临床证据怀疑为MS时,不建议考虑诊断为MS。
图片八
该患者的脊髓是正常的。血管炎或缺血性疾病患者的脊髓通常是正常的,而90%以上的MS患者的脊髓MRI成像都会发现异常。如果很难区分老年患者的白质损伤病灶是血管源性的还是MS,则对该患者行MR成像将非常有助于鉴别诊断。
图片九
现状我们回过头来第一个案例,很明显这是一个血管性疾病患者,深部白质中有广泛病变,但U形纤维和胼胝体未被累及。
缺血性白质损伤病灶表现为腔隙性梗塞、分水岭梗塞或深部白质弥漫性高密度病变。
腔隙性梗塞是由于穿透髓质的小动脉发生硬化造成的。分水岭梗塞是由于更大的血管发生动脉粥样硬化造成的,如颈动脉阻塞或灌注不足。50岁以上的患者中,发生大脑动脉粥样硬化性病变者高达50%。可见于血压正常的患者,但高血压患者更常见。
肉样瘤
图片十
请仔细观察上图并描述其病灶特点。
病灶分布与MS非常相似。除了深部白质中有病灶,还有一些脑室周围病灶和Dawson手指征样的病灶。
该患者的最终诊断是肉样瘤。
肉样瘤的病灶特征比神经性梅毒更像MS。
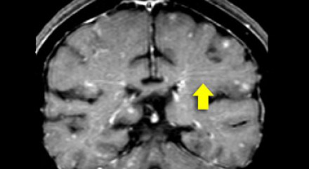
图片十一
上图是该患者冠状位钆增强T1加权成像图像。请仔细观察上图,我们可以看到在基底节中有点状增强病灶,这种病灶特征可见于肉样瘤,也可见于系统性红斑狼疮或其他血管炎性疾病。
该病例中,肉样瘤的典型特征是软脑膜增强(黄色箭头所示),这是由软脑膜发生肉芽肿性炎症造成的。
图片十二
该患者的另一个典型特征是线性增强病灶(上图中黄色箭头所示),这是由于沿着血管周围间隙发生炎症病变造成的,也是另一种形式的软脑膜增强。
这些特征也就解释了为什么肉样瘤的病灶特征会与MS相似:血管周围间隙与MS病变累及的小穿透静脉相似。
莱姆病
图片十三:蜱虫传播的螺旋体造成的典型皮肤红斑
莱姆病是一种以蜱为媒介的螺旋体感染性疾病,是由伯氏疏螺旋体所致的自然疫源性疾病。早期以皮肤慢性游走性红斑为特点,数月后,螺旋体可感染中枢神经系统,出现MS样的白质损伤病灶。临床上,莱姆病常表现为急性中枢神经系统症状(颅神经损害),有时可表现为横贯性脊髓炎。
图片十四:莱姆病患者中MS样的病灶
MRI成像要点:2-3毫米大小病灶,与MS的病灶类似。患者有皮肤红斑和流感样疾病。其他特征包括:脊髓高信号,CN7(神经根入脑干处)增强。
那他珠单克隆抗体治疗相关的进行性多灶性白质脑病(Natalizumab-associated PML)
图片十五
那他珠单克隆抗体治疗相关的进行性多灶性白质脑病。图片由Bénédicte Quivron CH Jolimont, La Louvière, Belgium提供。
进行性多灶性白质脑病(PML)是一种由JC病毒感染导致的脱髓鞘性疾病,见于免疫抑制患者。
Natalizumab是一种抗α4-整合素的单克隆抗体,临床效果和MRI检查显示用于治疗多发性硬化症的效果良好,该药物相对罕见但严重的副作用是有可能导致PML。
PML的诊断依据临床表现、中枢神经系统(例如,在脑脊液中)分离鉴定出JC病毒DNA、以及影像学检查,首选MRI。与艾滋病毒等其它PML人群相比,那他珠单克隆抗体相关性PML的成像特征是不均匀性和波动性。
成像特征要点:
? 大脑幕上皮层下白质内出现局灶性或多灶性病灶,累及U形纤维和皮层灰质,较少累及颅后窝和深部灰质。
? T2-高信号(在主要病灶附近偶尔可见小的局灶性病变);
? T1-等信号或低信号,取决于脱髓鞘的程度;
? 大约30%的患者的PML病变可以显示对比度增强;
? 在DWI成像上,尤其是病灶边缘呈现出高信号强度,提示为活动性感染和白质细胞水肿。
进行性MS与那他珠单克隆抗体相关性PML之间的鉴别诊断比较难。下表是MRI成像中两者的差异。
那他珠单克隆抗体相关性PML的MRI成像技术要点:
? FLAIR成像对PML病灶的探查敏感性最高;
? T2加权序列成像可显示某些特殊类型的PML病灶(如,微囊肿样病灶);
? T1平扫或造影扫描有助于评估脱髓鞘程度和炎性特征;
? DWI成像有助于发现活性感染。
HIV
图片十六
成像特征要点:艾滋病患者脑部MRI可见脑组织萎缩、对称性脑室周围白质损伤病灶或更多弥漫性白质损伤病灶。
Cadasil
图片十七
Cadasil,即常染色显性遗传性脑动脉病伴皮层下梗死和白质脑病(cerebral autosomal dominant arteriopathy with subcortical infarcts and leukencephalopathy,CADASIL),是一种遗传性小血管疾病。临床表现:偏头痛、痴呆和家庭历史。
成像特征要点:皮质下的腔隙性梗塞,伴小的囊性病灶,脑白质病变,好发于青年人。白质损伤病灶位于前颞极外囊具有较高的特异性。
- 上一条:你溶或不溶 小卒中都在那里 不离不弃
- 下一条:机械取栓改善缺血性卒中功能预后
- 偏头痛诊断 2025-04-30
- 颅内动脉瘤定义 2025-03-31
- 延髓梗死临床表现 2025-02-28
- 什么是吉兰-巴雷综合征? 2025-01-31
- 心房颤动临床表现 2024-12-31





























